
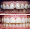
Les facettes dentaires sont des coques très fines en céramiques qui sont collées sur les dents après les avoir très légèrement abrasées cela permet de corriger :
- Les colorations en profondeur qui ne peuvent pas être traitées par un simple blanchiment.
- Des malpositions légères.
- Des fractures et/ou fissures de la dent
- Des caries restaurées par des résines décolorées.
- Des anomalies dans la forme de la dent par exemple trop pointue
- Un diastème ou « dent du bonheur ».
Avantage d’une facette par rapport à une couronne classique : elle peut être réalisée avec une taille à minima, sur dent vivante alors que souvent la réalisation d’ une couronne classique nécessite la dévitalisation de la dent.


